描述
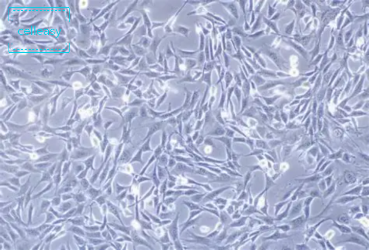
HT22 细胞信息
| 细胞名称 | 小鼠海马神经元细胞 |
|---|---|
| 英文名 | HT22 |
| 货号 | CE0031 |
| 规格 | 1 × 10⁶ cells/T25 flask |
| 培养体系 | DMEM (高糖) + 10% FBS ± 1% P/S |
| 别称 | HT22; HT-22 |
| 形态特征 | 神经细胞样 |
| 生长特性 | 贴壁生长 |
| 培养条件 | 气相:95%空气 + 5%CO₂;温度:37℃ |
| 传代比例 | 1:2至1:4,每2-3天传代一次 |
| 组织来源 | 小鼠海马体(大脑) |
英文名:HT22
货号:CE0031
规格:1 × 10⁶ cells/T25 flask
| 细胞名称 | 小鼠海马神经元细胞 |
|---|---|
| 英文名 | HT22 |
| 货号 | CE0031 |
| 规格 | 1 × 10⁶ cells/T25 flask |
| 培养体系 | DMEM (高糖) + 10% FBS ± 1% P/S |
| 别称 | HT22; HT-22 |
| 形态特征 | 神经细胞样 |
| 生长特性 | 贴壁生长 |
| 培养条件 | 气相:95%空气 + 5%CO₂;温度:37℃ |
| 传代比例 | 1:2至1:4,每2-3天传代一次 |
| 组织来源 | 小鼠海马体(大脑) |
评价
目前还没有评价