描述
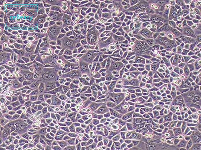
AGS 细胞信息
| 细胞名称 | 人胃腺癌细胞 |
|---|---|
| 英文名 | AGS |
| 货号 | CE0646 |
| 规格 | 1 × 10⁶ cells/T25 flask |
| 培养体系 | DMEM/F12 + 10% FBS ± 1% P/S |
| 别称 | AGS; AGS细胞 |
| 形态特征 | 上皮细胞样 |
| 生长特性 | 贴壁生长 |
| 培养条件 | 气相:95%空气 + 5%CO₂;温度:37℃ |
| 传代比例 | 1:2至1:6,每2-4天传代一次 |
| 组织来源 | 人胃;胃腺癌 |
英文名:AGS
货号:CE0646
规格:1 × 10⁶ cells/T25 flask
| 细胞名称 | 人胃腺癌细胞 |
|---|---|
| 英文名 | AGS |
| 货号 | CE0646 |
| 规格 | 1 × 10⁶ cells/T25 flask |
| 培养体系 | DMEM/F12 + 10% FBS ± 1% P/S |
| 别称 | AGS; AGS细胞 |
| 形态特征 | 上皮细胞样 |
| 生长特性 | 贴壁生长 |
| 培养条件 | 气相:95%空气 + 5%CO₂;温度:37℃ |
| 传代比例 | 1:2至1:6,每2-4天传代一次 |
| 组织来源 | 人胃;胃腺癌 |
评价
目前还没有评价